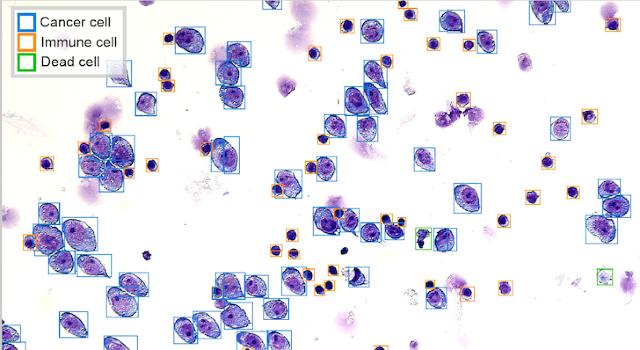
More than 50% of patients with cancer do not respond to the drug given to them. We developed a personalized, ex-vivo, single-cell method that can test 120+ drugs in parallel on a patient's live cancer and healthy cells. The test can identify which drugs and combinations are most effective for this patient, helping oncologists make better treatment decisions. Clinical trials consistently demonstrate that patients whose treatment was guided by our platform achieve significantly longer overall survival compared to those receiving the standard of care.
06.03.2026
Future of Health Grant 2026 Spring cohort unveiled (startupticker.ch)
06.11.2025
Switchkine leads first Biopôle Investment Program recipient cohort (startupticker.ch)
02.10.2025
Life sciences companies make positive progress (startupticker.ch)
08.09.2025
Prevision Medicine launches drug screening test for acute myeloid leukemia (startupticker.ch)
24.09.2025
01.09.2025
30.06.2025
First PrevisionOne test sold
No Jobs
PrevisionOne test
No Awards
Website:
www.previsionmedicine.com
Headquarter:
Zurich
Foundation Date:
September 2024
Technology:
Sectors: